欢迎访问宝鸡市人民医院官网!
生死考验:独肾藏8cm巨石,微创遇阻迎难而上
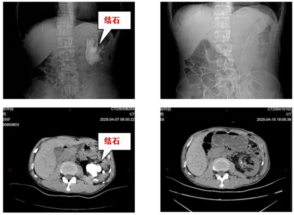
近日,宝鸡市人民医院泌尿外一科接诊了一位特殊患者。张先生(化名)因持续腰痛就医,检查结果令人震惊:该患者只有一个肾,且唯一的左肾内竟藏有一个直径达8cm的巨型铸型结石,形如“鹿角”般盘踞整个肾盂系统,且质地异常坚硬,与肾盂黏膜紧密粘连。对于独肾患者而言,这不仅关乎疼痛,更是一场生死考验!

面对这一高难度病例,泌尿外一科团队在张辉主任医师、刘双宁副主任医师的带领下,进行了多次深入讨论。传统微创碎石方案因效率低、残留风险高、肾功能保护难度大而被慎重评估。最终,团队决定迎难而上,采用开放性肾盂切开取石术,力求一次性完整清除结石,最大限度保护患者仅存的肾脏功能。“这类手术本就难度大,加上患者是独肾,稍有不慎就可能造成肾功能不可逆损伤。”主刀医生张辉解释道,“我们必须确保一次性完整取出结石,同时最大限度地保护这唯一的肾脏。”
巧夺天工:“骨科神器”跨界助阵,豆腐里雕琢取石
手术中,团队发现结石硬度远超预期,常规泌尿外科器械难以撼动。关键时刻,主刀医生张辉果断引入骨科高速电钻及咬骨钳,以精准如雕刻般的手法,先在结石上钻出受力点,再逐块咬碎取出分支结石。“就像在豆腐里取石头,既要取出结石,又不能碰坏豆腐。”参与手术的刘双宁医生形象地比喻道。

经过3小时的精细操作,医疗团队成功完整取出所有结石分支。术后检查显示患者肾盂系统通畅,肾功能指标稳定。患者术后恢复顺利,术后一周即康复出院。
技术创新:突破传统,为复杂结石治疗提供新思路
此次手术的成功,不仅解除了患者的痛苦,更展现了宝鸡市人民医院泌尿外一科在复杂泌尿系疾病诊疗中的技术实力与创新思维。面对独肾合并巨大铸型结石的高风险病例,团队突破常规,巧妙融合多学科技术,为类似病例提供了宝贵的临床经验。科室将继续依托先进设备与技术,为更多患者带来优质医疗服务。
地址:宝鸡市经二路新华巷24号 电话:0917-3272497 Email:bjsrmyydb@163.com
乘坐车次: 北门:4路、5路、6路、7路、8路、9路、10路、17路、36路 南门:33路、34路、37路、42路
Copyright © 2021 版权所有:宝鸡市人民医院 陕ICP备18007727号-2 陕公网安备 61030002000113号 技术支持:伙伴网络