欢迎访问宝鸡市人民医院官网!
79岁的贾先生遭遇严重车祸,全身13处重创、生命垂危时,一场跨越多学科的生死救援正式打响。历经100天的精准救治与悉心照护,这位曾徘徊在生死边缘的高龄患者成功康复出院,用医学奇迹诠释了“不抛弃、不放弃”的医者初心。

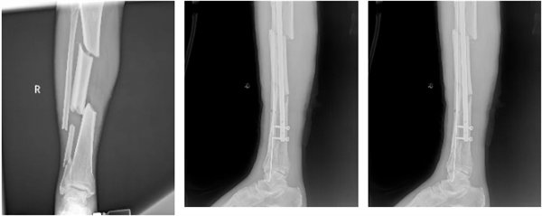
7月,贾先生因车祸导致全身多发伤急诊入院,诊断结果触目惊心:重症肺炎、脓毒性休克、I型呼吸衰竭、右侧胫腓骨下端开放性粉碎性骨折、骨盆多发骨折、左侧多发肋骨骨折、创伤性硬膜下出血等13项严重损伤,高龄、重症、多发伤的叠加让救治难度陡增。重症医学科第一时间启动紧急救治,抗感染、抗休克、呼吸机支持等一系列关键措施精准落地,为患者筑牢生命防线。待病情相对稳定后,患者转入专科进一步治疗,开启了分阶段的精准修复之路。

从7月29日的“右侧胫腓骨下端开放性骨折闭合复位内固定术+外固定术”,到9月2日的“右下肢清创术+局部转移皮瓣修复术+取皮植皮术”,再到9月29日的“右胫骨粉碎性骨折闭合复位+有限切开髓内针内固定术”,三次关键手术环环相扣、精准施策。术后,医疗团队持续给予抗感染、消肿止痛、抗凝、促骨折愈合等综合治疗,护理团队则从伤口护理、肢体功能训练到营养支持全程精细化照护,用专业与温暖陪伴患者度过艰难的康复期。

100天,是与死神赛跑的100天,是多学科协作攻坚的100天,更是医患同心共抗伤病的100天。从卧床不起、生命垂危到顺利出院、重获新生,贾先生的康复不仅彰显了现代医学在重症救治、创伤修复领域的精湛技术,更体现了医疗团队“以患者为中心”的责任担当与人文关怀。
此次成功救治,是医院多学科协作能力、重症救治水平与精准医疗理念的集中展现。未来,我们将继续深耕医学领域,锤炼过硬本领,用更精湛的技术、更优质的服务,为广大患者的生命健康保驾护航,让更多危重患者重获新生!
地址:宝鸡市经二路新华巷24号 电话:0917-3272497 Email:bjsrmyydb@163.com
乘坐车次: 北门:4路、5路、6路、7路、8路、9路、10路、17路、36路 南门:33路、34路、37路、42路
Copyright © 2021 版权所有:宝鸡市人民医院 陕ICP备18007727号-2 陕公网安备 61030002000113号 技术支持:伙伴网络