欢迎访问宝鸡市人民医院官网!
近日,宝鸡市人民医院肝胆胰脾外科完成一例高难度腹腔镜肝部分切除术及肝修补术,成功救治一名因重物砸伤导致复杂肝破裂的患者。整个救治过程充分展现了医院在急危重症创伤救治领域的专业水准与多学科协作能力,尤其是精准诊断与微创技术的完美结合,为严重肝损伤患者带来了新的治疗希望。

惊心动魄的抢救:从隐匿伤情到精准锁定
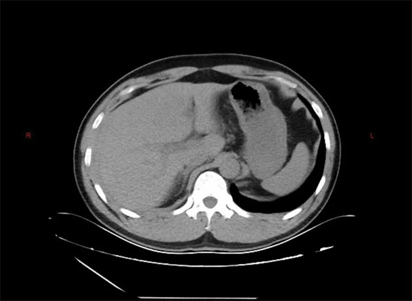
患者为一名中年男性,在工作时不慎被重物砸伤腹部,被紧急送至宝鸡市人民医院急诊科。入院时,患者面色苍白,心率快,腹部有压痛,急诊团队立即为其安排了腹部平扫CT检查。初步CT结果显示:腹腔内存在积血,盆腔有血肿形成,但令人困惑的是,并未发现明显的肝脾破裂直接征象。
通常情况下,肝脾破裂在CT影像上会有相对明确的表现,但此患者的初步影像却呈现“隐匿性”特点。面对这一情况,肝胆胰脾外科主任金上博立即组织科室进行紧急讨论,仔细分析患者伤情与CT影像后,高度怀疑存在活动性出血,且源头很可能就在肝脏。
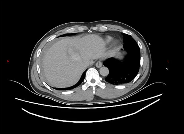
“虽然平扫CT未见典型破裂征象,但腹腔积血和患者生命体征的变化提示我们,必须进一步明确出血来源。”主管医生在讨论中表示。科室团队当机立断,决定为患者进行急诊增强CT检查。
增强CT犹如为医生装上了“透视眼”,通过对比剂的动态分布,清晰揭示了隐藏在正常肝组织下的破裂伤——患者的肝脏确实存在裂伤,且位置较为隐蔽。这一关键诊断成为后续精准治疗的基础。


微创突破:腹腔镜下完成高难度肝手术
明确诊断后,科室团队发现患者的肝破裂情况远比预想的复杂:裂口位置深,且伴随巨大血肿形成,传统开腹手术虽然可行,但创伤大、恢复慢。经过周密评估,团队决定挑战高难度——实施腹腔镜肝部分切除术及肝修补术。
腹腔镜肝脏手术技术要求高,尤其是在急诊情况下处理复杂肝破裂更是对术者技术的严峻考验。在麻醉手术科的密切配合下,由科主任金上博主刀的手术团队开始了这场精细操作。
通过几个微小的切口,手术团队将腹腔镜精准置入患者腹腔。在高清腹腔镜的放大视野下,医生们清晰看到了肝脏破裂处的具体情况:裂伤深达肝实质内部,周围形成巨大血肿,部分肝组织已失活。手术团队沉着冷静,先清除血肿和失活肝组织,仔细结扎破裂血管,再精准切除受损肝段,最终找到了形成巨大血肿的源头,肝中静脉撕裂了,肝中静脉是肝脏内粗大,且回流最为重要的静脉之一,一旦撕裂,出血量巨大,因此短期内就在肝内行了一个巨大的血肿,如果不清除血肿,修补撕裂处,那么自行止血的可能性微乎其微,通过腹腔镜下精细的修补,肝中静脉的破裂被完美的修补住了。
整个手术过程犹如一场精密的“微雕”艺术,既彻底清除了损伤病灶,修补了撕裂的肝中静脉,又最大限度地保留了健康肝组织。凭借娴熟的腹腔镜技术和丰富的肝手术经验,手术团队成功完成了这例高难度手术,术中出血量控制良好,患者生命体征平稳。
快速康复:精准医疗带来卓越效果
由于采用了微创手术方式,患者术后恢复远超预期。术后第一天,患者即可在协助下下床活动;术后疼痛轻微,仅需少量镇痛药物;胃肠道功能迅速恢复,很快过渡到正常饮食。在护理团队的精心照料下,患者未出现任何并发症,伤口愈合良好。
“真没想到恢复得这么快!”患者及家属对治疗效果赞不绝口,“几个小孔就解决了这么大的问题,现在的医疗技术真是先进!”术后一周复查显示,患者肝功能指标基本恢复正常,腹腔内无积液积血,恢复情况理想。此次成功救治不仅挽救了一条生命,也为类似复杂肝损伤的微创治疗积累了宝贵经验。
宝鸡市人民医院肝胆胰脾外科作为区域重点专科,多年来在肝胆胰脾疾病诊疗领域积累了丰富经验,尤其在微创手术方面处于地区领先水平。科室拥有先进的4K腹腔镜、胆道镜、十二指肠镜、超声内镜等设备,以及一支技术精湛、经验丰富的医疗团队。
此次复杂肝破裂的成功救治,集中体现了医院在救治危重病人方面的优势所在:精准的诊断能力,医疗团队不满足于常规检查结果,通过深入分析和增强CT等先进手段,准确发现了隐匿性肝破裂,为及时救治赢得了宝贵时间。高超的微创技术,在急诊情况下成功实施腹腔镜肝部分切除术,修补了撕裂严重的肝中静脉,展现了团队在复杂肝胆手术中的精湛技艺和应急处理能力。高效的多学科协作,从急诊科、医学影像科及麻醉手术科,各部门紧密配合,形成了无缝衔接的救治链条,为患者提供了全方位、高质量的医疗服务。
科主任金上博表示:“每一次成功救治都是团队协作和技术积累的结果。我们将继续提升急危重症救治能力,推广微创技术,让更多患者受益于精准医疗和快速康复理念。”
地址:宝鸡市经二路新华巷24号 电话:0917-3272497 Email:bjsrmyydb@163.com
乘坐车次: 北门:4路、5路、6路、7路、8路、9路、10路、17路、36路 南门:33路、34路、37路、42路
Copyright © 2021 版权所有:宝鸡市人民医院 陕ICP备18007727号-2 陕公网安备 61030002000113号 技术支持:伙伴网络